
Andrea
Veneers and Gingivoplasty (Reshaping of the Gums)
Liz grinds and clenches at night, which caused her 4-unit porcelain bridge to fail. We combined gold on her molar because gold is a softer material that will wear like her natural teeth. The combination of porcelain and gold for the bridge allowed her to have the esthetics and strength of porcelain with the flexibility of the gold on the heavy chewing area, maximizing function and longevity.


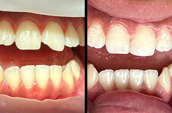
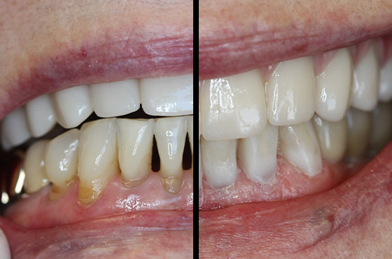
Andrea needed more work, but her primary concern: front teeth.
This is a case of limited laminates from teeth 07 to 09, requiring gingivoplasty (re-shaping the gums).
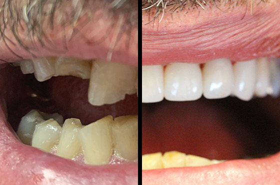
When Gertrude first came she was already missing several teeth. To remedy her appearance, the doctor equipped her with provisionals. The case was studied, implants were done; the outcome, in appearance, was similar to provisionals, but with permanent chewing strength.


Sue presented with old crowns on teeth 05 to 12 (upper front). They were replaced with ceramic crowns and bleaching.

Veneers and Gingivoplasty (Reshaping of the Gums)

Full Mouth Rehabilitation

Veneers & Whitening

Crowns & Whitening

Implant-Supported Bridge

Composite restoration

Veneers

Laminate Veneers

Composite Bonding

Dental Crowns

Dental Crowns

Dental Bridge

Dental Crowns

All-on-4 Implants

Dental Composites

Dental care is essential health care, and when you have a dentist who understands the link between your oral health and your overall well-being, a dental visit becomes an entirely different experience. At the practice of Alexandra Jaquery DDS, MS, you can expect:
You will also find the expert guidance you need to achieve optimal dental health and ultimately improve your overall health.